Maison Dentaire

Notre clinique se spécialise en dentisterie cosmétique.

Nous offrons un service de consultation virtuelle

“Smile Makeover”

La dentisterie cosmétique moderne nous permet d’améliorer les dents et le sourire, grâce à des traitements rapides et indolores.

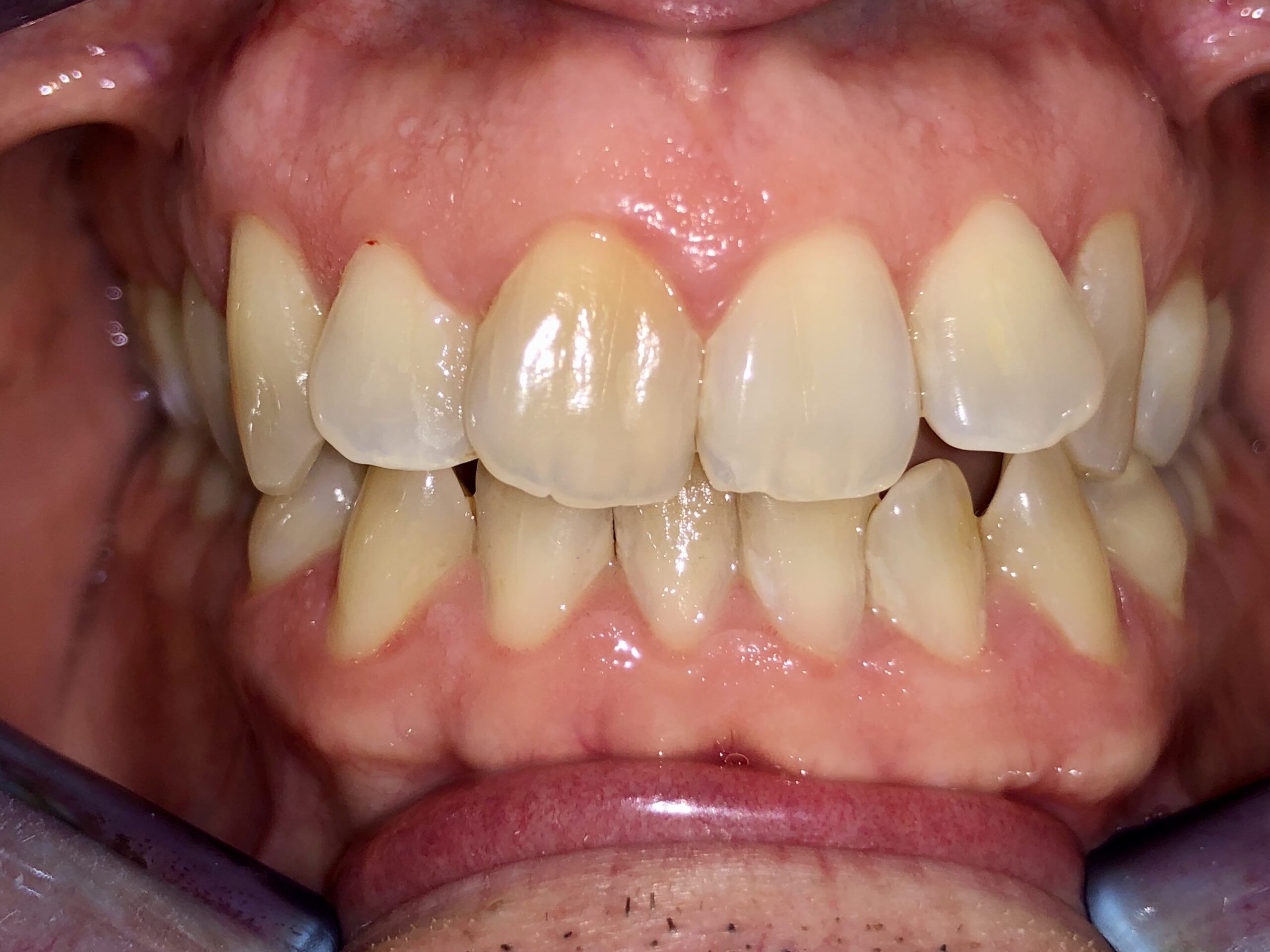
Avant / Après

avant-apres1
avant-apres1
avant-apres2
avant-apres2
avant-apres3
avant-apres3
avant-apres4
avant-apres4
avant-apres5
avant-apres5
avant-apres6
avant-apres6
avant-apres7
avant-apres7
avant-apres8
avant-apres8
avant-apres9
avant-apres9
avant-apres10
avant-apres10
avant-apres11
avant-apres11
avant-apres12
avant-apres12

Facettes de porcelaine invisalign
blanchiement

Comment se rendre à notre clinique?

1055
Beaver Hall
Suite 200
Montreal QC
H2Z1S5

HORAIRE

Lundi : 8H – 19H
Mardi : 8H – 19H
Mercredi : 8H – 19H
Jeudi : 8H – 19H
Vendredi : 8H – 18H

MÉTRO

Square-Victoria-OACI

PARKING

Disponible par la ruelle
500 René-Levesque

CONTACT

TEL 514 524 1188